Laboratórium | Segédlet a laboreredmények értékeléséhez

Ozmotikus Rezisztencia (OR)

Mit jelent a vörösvérsejtek ozmotikus rezisztenciája?

A vörösvérsejtek ozmotikus rezisztenciája (vagy angolszász terminussal "osmotic fragility", azaz ozmotikus törékenység) azt jelenti, hogy a vörösvérsejtek egy bizonyos szintig tolerálni tudják környezet ozmotikus nyomásának csökkenését anélkül, hogy sejthártyájuk átlyukadna, majd szétrepedne. A rezisztencia elsősorban a vörösvérsejtek térfogatától függ, miszerint minél kisebbek a sejtek, annál kisebb a membránjuk felülete, tehát annál kevésbé lesznek képesek az amúgy is korlátozott tágulásra. A környezeti ozmotikus nyomáscsökkenés hatására víz áramlik be a sejtekbe, növelve a belső nyomást. Elérve a kritikus belső nyomást először hemoglobin kezd kiáramolni a sejtekből, majd a további külső nyomáscsökkenés hatására a v.v.s.-ek megrepednek. A másik tényező, ami befolyásolja az OR-t, a membránra ható károsító hatások. Ezek lehetnek veleszületett vörösvérsejtképzési zavarok, vagy szerzett membránkárosító tényezők.

Mikor érdemes OR-t mérni?
  • anaemiák esetében (különösen immun-mediált hemolytikus anaemia gyanújánál)
  • veleszületett vörösvérsejtképzési anomáliák gyanúja esetén.
Milyen minta szükséges a vizsgálathoz?

Egy lila kupakos, azaz EDTA tartalmú csőbe 1-2 ml a vénást vért kell gyűjteni.

Mennyi ideig stabil a minta a meghatározáshoz?

Hűtőben néhány óráig.

Hogyan végezzük a mérést?

Pufferolt NaCl oldatból 0 és 0,9% közötti hígítási sort készítünk, 0,05%-os lépésenként. Minden hígításból 2 ml-t kémcsövekbe mérünk és hozzácseppentünk 2-2 csepp teljes vért és nagyon óvatosan összeforgatjuk. Néhány perces inkubáció után ismét óvatosan átforgatjuk a csöveket, majd centrifugáljuk és a felülúszót fotometráljuk, megállapítva a hemoglobin tartalmukat. Ezután a felülúszók Hb tartalmát százalékba fejezzük ki a teljes hemolízis értékének függvényében. A normálértéket megadhatjuk a kezdeti vagy a teljes hemolízisnek megfelelő NaCl koncentráció értékében. (1. kép)


1. kép


kezdődő hemolízis teljes hemolízis
Kutya 0,45-0,50 0,35-0,40
Macska 0,65-0,70 0,45-0,50

A macska kisebb OR-ja a fajra jellemző kisebb vörösvérsejt térfogatból adódik.

Mi befolyásolhatja az OR értékét?
  • a lipaemia növeli a vörösvérsejtek sérülékenységét.
  • a reticulocyták ozmotikus rezisztenciája nagyobb, mint az érett vörösvérsejteké.
  • a leptocyták (target sejtek) ellenállása és tágulékonysága fokozottabb.
  • az eleve hemolizált vér bizonytalanná teszi az értékelést

Az OR teszt értékelése:

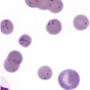
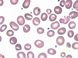
A csökkent OR oka lehet veleszületett vörösvérsejtképzési zavar ( veleszületett spherocytosis golden retriever kutyákban, öröklődő stomatocytosis (2. kép) alaszkai malamut , törpe schnauzer, közép schnauzer és pomerániai kutyákban, valamint csökkent OR abesszin és szomáli macskákban). A szerzett OR csökkenés leggyakoribb oka az immun-mediált hemolytikus anaemia (AIHA vagy IMHA). Itt a rezisztencia csökkenés a fokozott spherocyta képződés (kisebb, egyneműen eozinofilen festődő sejtek: 3. kép) és a membrán antigén-ellananyag reakció miatti sérülésének következménye. Hasonlóan membránkárosító a hemotróf mycoplasma ( M. haemofelis: 4. kép, M. haemocanis: 5. kép) fertőzés, ritkán krónikus azotaemia következtében is sérülhetnek a sejthártyák. Emelkedett OR-t okozhat a masszív reticulocytosis vagy leptocytosis (6. kép) (ritkán májbetegségek vagy vashiány velejárója).

2. kép

3. kép

4. kép

5. kép

6. kép
Vissza az oldal elejére
Laboratóriumi hírek
ÚJ!
Letölthetők a 2020-as laborlapok
2020 július 24.
SPOT PLATINUM 2013 február 24.
Új segédlet!
Vizelet Protein-Kreatinin arány (UPC)
2013 február 23.
Rendelői hírek
Fejlesztések a rendelőben 2020 július 24.
Oltási könyv - közlemény 2010 október 16.
tonykutyakozmetika
www.tonykutyakozmetika.hu

gazdiklub.hu
Webdesign-Honlapkeszites.hu